在医院拍的这些「片子」到底有什么用?你可能需要了解这些「冷知识」
随着科学技术的发展,医学正在不断发展,诊断和治疗的辅助检查方法越来越先进。引入新的辅助诊断医疗设备以及不断更新的各种高级成像检查技术已大大提高了诊断率,并为医务人员带来了便利:毕竟,在听诊器发明之前,医生只能在患者的胸壁上诊断医生。根据与患者接触之前和之后消毒的原则,如果现在仍然没有听诊器,作为医生,不仅可以洗手,而且必须洗脸。

但是,检查方法的进展给患者带来了更多的困惑。人们在访问医院时经常在各种考试诊所和付款窗口周围旅行。当他们头晕目眩的时候,他们不禁喃喃地说:“你怎么知道如何检查我?这部电影会有辐射吗?是否有这样昂贵的考试回扣?”根据上述背景,我会短暂地介绍当前常见成像检查的功能和优势和缺点,以便读者可以拥有自己的考试,这是基本的理解。
应当指出的是,本文旨在为读者普及各种成像考试,并且不建议读者根据本文进行“选择”检查。本文不构成任何医疗建议。请离线访问医生,并遵循医生的建议以获取特定问题。
医学成像包括成像诊断和介入放射学。考虑到专业精神和实用性,本文仅简要解释了成像诊断中常见的临床成像检查。此外,由于儿童,孕妇和其他群体的生理和病理专业,此引言不涉及上述特殊群体。当然,我不是物理学的专业,并且可能没有详细说明具体原则。如果有任何不准确性,欢迎相关专业人员纠正它们。
▍耗散成像:不仅仅是B超声
超声成像是指使用超声的物理特征和人体组织的声学特征进行成像的技术,并用于协助诊断。用外行的话来说,一种超声波仪器通过换能器(通常称为探针)发出不同频率的超声波,接收人类组织反射,散射,折射,衍射等后返回的声波,然后由仪器处理到仪器上形成图像。

左侧的图片是超声检查的一个例子。医生用手触摸患者的部分是传感器(探针);右侧的图片是飞利浦超声仪器。图片来源飞利浦官方网站。
超声成像分为A型超声,B型超声(二维超声),M型超声,D-Type Ultrasound(多普勒超声)等。详细介绍。我将使用简单而粗糙的方法来帮助您了解这些类型的超声波:
A型超声成像是一维波形,目前在临床实践中使用较少。 M型超声成像也是一维波形,仅在采样线上查看状态。它主要用于心脏检查。它可以检查心脏结构,观察运动轨迹,并测量前直径和后直径,腔室壁厚,心脏功能等。换句话说,您通常不需要它,但是当您时,它只会看着心脏。使用它。
最常用的B型超声成像(B型超声)是二维部分,广泛用于临床实践中。它也是M型超声和D型超声检查成像的基础。您可以简单地理解,在戳医生的探测器的位置,您可以在哪里戳一下。因为人体是三维的,所以医生需要选择不同的部分进行检查 - 这就是为什么超声波医生的探测总是戳在您周围,并使您不时地转过身来,这意味着使用探测器来减少一些探测探测给你。让我们独自看一下。您也可以想象您是一锅菜肴。医生的探测是烹饪的刮刀。您可以在插入刮刀的任何地方看到。如果某个地方可能存在问题(就像盘子不煮熟一样),则需要添加一些spatulas。
D型超声成像是多普勒超声成像,包括光谱多普勒,组织多普勒成像(TFI),颜色多普勒能量图(CDE)和多普勒血液流量成像(CDFI)。顾名思义,多普勒超声成像基于多普勒效应。这是对高中物理知识的评论:多普勒效应,也就是说,当一定频率的超声波从声源发生并在介质中传播时,如果相对于声源移动的界面,则反射的超声波将遵循界面。运动的情况发生了变化。当对象接近时,声波变成“密集”,当物体远离时,它们就会变得“稀疏”。基于上述原则,D型超声波主要检查可以相对于声源移动的界面(探针)(可以移动的组织和血流等)。因此,尽管D型超声听起来很先进,但只能在“移动”的地方使用。并非一切都可以是多普勒。

图显示了多普勒效应。 (照片来自“大爆炸” S01E06)
目前,临床实践中的两种常见超声仪器是B型超声仪器和颜色多普勒超声仪器。应该注意的是,B型超声机不仅具有B型超声成像功能,而且通常具有M型超声和Spectrum Doppler成像功能。由于广泛使用B型超声仪器,因此公众也知道“ b-ultrasound”一词,通常用于参考所有超声检查 - 这实际上是不准确的。当然,作为病人,标题中的这个小缺陷一无所有。毕竟,医生长期以来能够对任何标题(例如医生,护士,护士,女孩,女孩和服务员)微笑,并可以冷静地做出反应,并在听到各种疾病描述时尝试了解沟通技巧。只要您可以清楚地表达自己的含义,就可以说什么。
同样,颜色多普勒超声仪器不仅可以执行多普勒超声成像,而且还具有诸如B型和M型成像之类的功能。高级模型还可以执行静态和动态的三维成像,超声对比度和声学定量。
超声波是没有放射性损害的机械波,这是人们经常说的不是“吃电线”。由于超声检查是一种非侵入性和动态检查,因此可以在各种组织和零件中使用,相对容易操作(可以在床边进行和术中检查),并且相对较低(一部分的一部分检查约为100元),因此在临床实践中广泛使用。它尤其用于诊断甲状腺,乳腺癌,淋巴结和腹部实质器官(例如肝脏,胆囊,脾脏和胰腺),以及妇科和产科成像。但是,由于骨骼,肺部和胃肠道中的气体完全反映了超声波 - 它是声音图像上的一块黑色,因此超声检查对上述组织和器官的诊断影响有限。此外,如上所述,超声是人为选择进行成像的,因此,由于人体组织的复杂性和病变的多样性,有选择用于超声检查的固定标准,但没有必要获得“一个问题“该部分,并且对医生的经验和技术水平有很大的依赖。
▍X射线成像技术
X射线是一种特殊的放射性光,具有透视图,可吸收性等。使用X射线成像的技术称为X射线成像技术,主要包括X射线成像和X射线计算机层析成像(CT)。在生活中,通常使用“ X射线”来指代“ X射线成像”,而CT则用于指代“ X射线计算机 - 倾斜成像”。当然,在谈论本段之后,您应该对我感到困惑。没关系。首先将关系图放在此处,然后我将以最粗糙,最简单的方式解释它。

X射线成像 - 传统X射线,CR和DR
让我们首先了解X射线成像的原理。 X射线是具有极短波长的电磁波,具有穿透性,可吸收性,荧光和光敏作用。 X射线成像的基本原理(常见版本)是开元ky888棋牌官方版,当X射线照射人体时,由于人体不同组织的密度和厚度不同,X射线的吸收程度也不同,因此它们最终显示出不同的黑白(通常称为不同的密度)图像。 X射线成像主要包括传统的X射线,计算机X射线成像(CR)和数字X射线成像(DR)。这三个之间的主要区别在于成像技术的差异。传统的X射线是在胶卷上成像的,而CR和DR是像素化的图像和数字化图像。其中,DR成像时间很短,它可以执行荧光镜检查和随后的图像技术处理以及其他高级功能,这些功能广泛用于临床应用中。上述技术的选择和应用会受到主题状况,医院和医疗保险的实际状况的影响。所有X射线检查。
在生活中,读者对X射线有一定的了解。他们可能知道白色是骨头,而灰黑则是其他。

图片显示了一个在线表情套件包,源是未知的,但这看起来非常强大。
不同的组织和部分呈现不同的颜色,实际上与组织密度直接相关。组织密度越高,吸收X射线的越多,并且最终图像颜色越亮。因此,在X射线成像中,白色部分称为高密度,灰黑称为低密度。如果人体会导致损伤变化组织密度,则在达到一定水平后成像时将以黑色,白色和灰度变化。
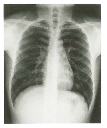
X射线成像是一个覆盖图像,即从X射线照射部分的前后到后面的所有图像的叠加,就像“感应眼”的角度。因此,X射线成像也称为荧光镜检查。例如,用于学校体格检查的“胸部荧光镜”项目,公务员和公共机构的参加体格检查是指胸部来回的X射线成像,但它不显示电影中的图像,成像板和平板电脑。在检测器中,它直接在荧光屏幕上显示以实时观察。下图是胸部来回的X射线图像,这表明胸部的所有组织结构都叠加在图像中。

图片来自第九版的Renwei医学成像
使用人体组织的自然厚度和密度比较进行成像是自然成像。当自然成像“不清楚”时,可以使用对比剂(也称为对比剂)手动增加对比度,例如通常出现在高中化学问题中的口服治疗。胃肠道X射线摄影是在钡餐中进行的,以及用于介入手术的血管造影,目前在临床实践中正在迅速发展。
X射线射击很方便,成本较低。单个扁平膜的价格约为100元,并且成像显示范围相对较大(如上图所示,您可以看到整个胸部)。缺点是,作为一个叠加的图像,多层组织的成像叠加可能会影响病变的判断,并且很难检测到一些细微的病变。此外,由于组织的特征和X射线成像的原理,X射线的应用范围有限:例如,在临床实践中,腹部很少使用平坦的X射线开元棋官方正版下载,通常是仅用于急性腹部症状,石头的主要筛查等;通过内窥镜检查,可以在腹部使用X射线平面,通常仅用于急性腹部症状,石头的主要筛查。随着技术的发展,钡餐检查的应用也有所下降。
计算机断层扫描-CT
CT是X射线计算机层流成像的缩写。从全名中可以看出,CT也是一种X射线成像技术。 CT和普通X射线之间的最大区别是“身体层”一词。 X射线是无数的层,添加了图像,而CT是真正的层析成像图像,也就是说,扫描零件的多个级别是分别成像的 - 例如,您是法式面包(或者是从中的肉条)一家火锅餐厅)硬又长。我们想看看您内部的外观,因此我们有一台机器将您从头到脚切成薄片,以便您可以看到它。每个薄截面是什么样的?目前,每个级别的图像都没有其他级别的影响,并且可以清楚地观察到单个级别的组织结构和病变。
这可能是医学成像检查的含义:您可以清楚地看到您应该能够看到的地方,而无需真正开放,并直接“显示”只能通过观察,听力,听力,听力,听力,可以通过进行身体检查来间接地“推断”的问题。听力,询问和切口。 。
CT成像是比X射线更高分辨率的数字复制图像(特定于不同设备和处理技术的不同像素)。同时,CT成像的密度值是可量化的。高,中和低密度不仅可以用来描述图像,而且还可以直接描述密度的CT值。 CT通常使用水平轴断层扫描(即减半,法式面包的水平是什么水平),因此您通常会看到的CT膜总是一一偏椭圆形图像(右图如下图所示)。但是,在头部,脸部或颅骨CT检查期间,有时是冠状扫描(垂直分为两半的大型平面)是躺下并平坦的零件,以便每次都应该切割头部,剪切方向并清楚地看到。

图片的左侧显示了人体的轴和表面,图片来自Jilin Science和Technology Press Human Anatomy。图片的右侧显示了正常的肺窗口CT,该肺部CT与医学成像截获。
直接使用不同组织厚度和密度进行成像的CT称为CT扫描,通常可以在几分钟内完成检查。使用对比剂来帮助成像的CT称为CT增强。考试时间稍长。根据考试现场和增强技术,可能需要几分钟到半小时。随着CT技术的发展,“切片”的厚度越来越薄。应用螺旋CT后,可以将成像视为连续且均匀的扫描。在患者检查后,可以取出存储的膜并选择某个部分进行打印。在使用最新成像系统的医院中,医生可以直接观察到计算机上成像系统中患者的CT扫描的每个级别,如果需要进一步操作,将进行进一步的操作。图像处理也可以在原始扫描图像上进行,而无需患者进行次要检查。
CT成像具有许多级别,高分辨率和相对较高的价格。它的价格通常与扫描位置有关。例如,2021年最大的三级医院的高分辨率螺旋CT扫描是198元人民币,胸部很高。分辨率的螺旋CT扫描为378元,比普通的X射线更经济。当医生在X射线和CT之间进行选择时,他将权衡患者的病情,病变位置,经济状况等。因此,当X射线检查可能“不清楚”时,可能建议患者接受CT检查一个步骤,不仅可以减少X射线吸收(即避免了生产线的次要饮食),而且不会延迟由于反复检查而引起的诊断和治疗。
如前所述,X射线很少用于腹部疾病的诊断。超声检查是临床工作中腹部疾病初始筛查的首选,而CT检查通常用于进一步检查。 @如小小小小小小小小小小小小小小小小小小小小小小小小小小小小小小小小小小小小小小小小小小小小小小小小小小小小小小小小小小小小小小小小小小小小小小小小小小小小小小小小小小小�这是因为在x-中很难清楚地看到一些较小的病变射线成像,以及在CT中可以找到一些早期的病变,以便可以尽快诊断和治疗它们,并在随后的治疗中进行重新检查和比较方便。
每个人都更关心的另一个问题是X射线成像的安全性(包括普通的X射线和CT检查)。 X射线成像检查会导致某些放射性损害,并且在一段时间内不应过于频繁。对于孕妇和儿童等特殊团体,X射线成像需要更加谨慎。通常,在六个月内有怀孕计划的妇女和孕妇不会接受此类考试。对于儿童,如有必要,请尝试尽可能少地进行此类考试。当然,对于普通成年人来说,X射线成像通常对人体无害,没有过量或频率,并且几天后,吸收的射线将干净地代谢。
一般而言,在进行检查或随附的检查时,在整个过程中,工作人员的命令是没有问题的。但是,基于对自己负责的原则,每个人都应该知道:如果不是考试的情况或必须陪同检查的情况(如果患者不安,需要家人的帮助才能刹车),请不进入检查室。如果您输入,则必须遵循医务人员的指示,并戴上保护铅。衣服。此外,通常在考试室附近有分诊,查询办公室或相关人员。如果您有任何疑问,您可以先咨询外面的员工,不要随意进入和退出检查室。如果您必须进入检查室,请等待检查结束。对于那些使用过造影剂检查的人,他们可以在检查后喝更多的水,以促进对比剂的代谢。
▍磁共振成像(MRI)
磁共振成像是我们通常称为核磁检查的,它也是公众通常可以访问的相对高价(昂贵)的成像检查。磁共振成像的原理相对复杂。有兴趣的朋友可以咨询相关的学习材料。磁共振成像的原理分为成像教科书的三个步骤:首先,人体1H产生纵向磁化载体和在强的外部磁场中产生1H进动;其次,特定频率脉冲(RF脉冲)的发射会导致磁共振现象;第三,使用特定频率脉冲(RF脉冲)的发射来引起磁共振; ,停止RF脉冲后,1H返回原始状态并生成MR信号。
听不懂,对吧?我们删除了用于粗略翻译的专业术语:核磁性机产生了一个强大的外部磁场,将考生放置在该磁场中;同时,机器间歇地发出了特定频率的射频脉冲,使体内的H核可以在脉冲停止后进行特定的“运动”(产生磁共振现象),核返回其原始状态。该机器记录了核恢复到其原始状态(称为松弛时间)的时间,并通过一系列复杂的高科技转换为图像。实际上,您只需要知道一件事:它没有辐射,它使用磁场。

图片显示了一种核磁性检查工具,图片来自飞利浦的官方网站。
磁共振成像的黑白灰度代表组织之间不同的松弛时间。由于1H在放松过程中产生了代表不同弛豫时间的MR信号,因此在磁共振图像中称为高和低信号。不同组织的松弛时间不同,磁共振成像使用此原理诊断疾病。由两个不同的松弛时间产生的信号称为T1和T2信号。高信号和低信号的具体含义非常复杂。当然,普通读者不需要了解它们。足以知道有两个信号。
磁共振成像也是层析成像图像,但是与CT不同,磁共振成像可以执行多层成像:也就是说,CT通常是水平轴横截面(半切),而核磁力可以执行横截面成像在各个角度(停止)。核磁能可以执行多参数和多序列成像,并具有高分辨率的软组织,并广泛用于颅脑大脑中。此外,核磁力可直接用于对人体的水和血液进行图像,并且无需注入造影剂,从而避免了碘对比剂的副作用。由于磁共振成像使用外部磁场和RF脉冲引起人体自身核的磁共振以产生磁共振,因此通常被认为是高安全性且无副作用。尽管MMI具有许多优势,但并不是全能的。由于其成像原理和多序列扫描,完成检查需要很长时间(不同的检查略有不同,约1-2小时)。由于各种原因,抽搐,搅动,混乱,幽闭恐惧症等“不能躺下”。患者很难进行这项检查。此外,检查时间太长,不适合紧急治疗。
接下来,让我们谈谈MRI的安全问题 -

医院的病床被吸引到MRI机器中,资料来源:MRI安全教程课程由AAMC发布
原则上,在磁成像过程中不应用辐射,因此每个人都担心的电线饮食没有问题。可以说是“安全”的检查。不幸的是,从临床上讲,磁共振成像通常容易出现事故。这不是因为检查本身有任何伤害,而是因为检查前的安全措施不能很好地采取。在磁共振成像过程中,有一个强大的外部磁场,对金属非常有吸引力,因此检查时,您必须将金属物体放在体内(包括但不限于钥匙,配件,玻璃,笔,笔,硬币,移动义齿等。)所有这些都被删除,并患有起搏器开yunapp体育官网入口下载手机版,磁性金属假牙和关节,钢制指甲,钢板,螺丝支架,避孕药环等。
我还将谈论近年来广泛使用的钛合金植入物:由于植入物的大小,位置和植入物的组成(纯钛/钛合金,某些钛合金植入物的合金组成和比例与机密专利不同,它们对核磁成像的影响也不同。换句话说,一般而言,钛合金可以用作核磁场,但它们可能无法清楚地看到它们的特定目的。植入物和成像医生都不是出于任何原因或其他原因隐藏您的病史当场取消了数百万个机器(真的很昂贵)。我不知道为什么病人坐在轮椅上进入检查室,我不知道将来如何处理此事。但是,被爆炸吸入机器必须对患者造成人身伤害,而其他患者也是由于机器的。由于故障而延迟了检查。因此,当您经历MMI或进入MMI房间时,请服从!不要带金属!不要带所有金属noooooo!
summary
不同的成像检查具有不同的使用范围,并且成像检查的选择非常复杂。即使对于同一疾病,在疾病的不同时期,需要进行的检查也可能有所不同。更不用说考虑了疾病和个体差异的复杂性和多样性(患者的一般状况,是否合并了其他疾病,是否还有其他检查。禁忌症)和其他复杂的现实生活中的病情(患者的性别,年龄,年龄,年龄,年龄,年龄,年龄,年龄,文化,信念,个人和家庭的意愿,家庭经济状况和医疗保险,医院设备以及技术水平等)。
也许您在阅读这些检查的具体原理上仍然感到困惑,这很正常。一名医生已经学习了至少五年,获得了医生证书,并在诊所接受了培训,在治疗专业以外的其他疾病时需要咨询,更不用说外行。我会找到一个专业的物理朋友,以查看我上面写的原理,以查看他是否想打我。因此,如果您将专业人士留给专业人员,读者需要了解“为什么要考试?”和“在检查检查时,我应该如何合作并保护自己。”另外,请保留您访问过的信息(包括但不限于医疗记录,门诊书籍,实验室测试表等)。请存储成像考试膜,不要将它们卷起,不要将它们折成两半,也不要将其扔掉。
最后,祝您身体健康。
报价链接:
[1]体格检查项目: